
Conclusion: Stable Disease
Sinopse
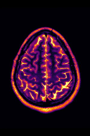
Living with a progressive disease like multiple sclerosis means annual tests and doctor’s visits, and with that comes the usual anxiety about whether this will be the year. Conclusion: Stable Disease is an experimental video made from the artist’s personal MRI image scans from 2018-2022
- 0
- 2023
- Released
- 0h 5m
Status
Released
Original Language
en
Keywords
- #multiple sclerosis
- #chronic illness
- #mri











